スペース
◆院長あいさつ  ◆診療案内  ◆施設案内  ◆設備紹介  ◆処方食
スペース

 ◆院長あいさつ

今のペットの飼育環境や病気は、私が開業した20年前とは大きく変わってきました。
昔は、多くの猫は家の内外かまわず自由に動き回っていました。犬はトイ種以外は 外で飼われているほうが多かったと思います。病気は、伝染病、フィラリア症、骨折など。 しかし今は、猫はもとより犬も大小問わず、ほとんどが室内飼育。病気も、アレルギー疾患 心臓病、がんなど人と同じようになってきました。
ペットもしっかり家族の一員。病気を治すには、専門的な知識がますます必要になってきました。
かといって、一人で全科の専門はできません。よって、チームワークの治療が必要になります。
そこで、動物の気持ちを理解できるやさしいスタッフが、 それぞれの専門的知識を活かし、難しい症例はチームワークで取り組み、 そのペットにあった一番良い治療法を飼い主さんと一緒に選んでいける、 そんな病院をめざしています。

動物病院 心恵堂 青木幸博
院長 青木幸博
スペース

 ◆診療案内

診療対象動物:イヌ・ネコ

診察は予約制になりますので、
電話で予約の上来院ください。

   TEL:029-273-6722
このページのトップへ
スペース

 ◆施設案内

受付
外観
待合室
診察室
処置室
薬局
手術室
ICU
隔離室
入院室
スペース
スペース

 ◆設備紹介

CT CT
本院では、4列マルチスライスヘリカルCT装置(TOSHIBA Asteion4)を導入しました。
1回転で4断面の画像を取得することができ,0.75秒の高速フルスキャンを可能とすることで,肺野領域30cmの範囲を最速6秒以下でスキャン可能です。
従来の1列のCTより短時間で、被爆量の少ない、正確な検査が可能です。
●CT検査の流れ
動物は検査の間じっとしていることができませんので、撮影を行うためには全身麻酔が必要です。麻酔をかけて検査台の上に寝かせ、検査部位を撮影します。
撮影部位によっては、血管から造影剤をいれて検査することで、病変部を強調します。
撮影する条件にもよりますが、麻酔の導入を含めても平均10分程度で検査は終了します。
撮影する際は事前の予約が必要です。
●CT検査が有用な病気
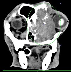
  • 腹腔内病変
  • 脾臓の血管肉腫
    脾臓の血管肉腫
  • 頭部病変
  • 鼻腺癌による骨融解像 脳腫瘍
    鼻腺癌による骨融解像 脳腫瘍
  • 骨折
  • 椎間板ヘルニア
    骨盤骨折 椎間板ヘルニア
    肺内パーカッションベンチレーター
    肺に溜まった水を迅速に排出する目的で使用します。また肺胞の奥まで霧状の薬剤を送ることができます。また、酸素吸引などの呼吸補助を効率よく行えます。
    肺水腫の呼吸困難や肺炎、喘息性気管支炎などに有用です。
    肺内パーカッションベンチレーター
    内視鏡 内視鏡
    主に、消化管内の検査に使用しています。
    口からのアプローチで咽喉頭から十二指腸までの病変の確認、 バイオプシー鉗子を用いて組織の採取、病理組織検査での 診断に利用しています。
    また逆行性の消化管内検査では、結腸、直腸にも応用できます。
    鼻腔内も早期に診断がしにくい部位ですので、内視鏡を用いての 組織生検は有意義な診断方法となります。
    超音波検査機器
    超音波検査は患者に非侵襲的(無麻酔、無被爆)に多くの情報が得られる検査です。
    当院では優れた軟部組織解像力をもつ検査機器により、早期の病変の確認に努めています。
    高い周波数(13MHz)により細かいコントラストがつけられ細部の構造が詳しくわかります。
    そのため、臓器内や腫瘤周囲の血管走行や消化管の層構造も簡単に描出できます。
    また、超音波ガイド下での腹腔内腫瘤(特に肝臓の腫瘤)の組織生検で、
    開腹をせずに診断が下せることも多いです。
    超音波検査機器
    血液生化学検査機器 血液生化学検査機器 血液生化学検査機器
    検査項目を選択し検査するための機器と、 スクリーニング検査として用いる検査機器が あります。
    前者は主に病気の追跡検査として用い、 後者は、広い範囲での病気の発見もしくは 健康診断に使用されることが多いです。
    血液凝固検査機器
    病気があって手術を行う際、血液凝固不全に陥っているケースがしばしば認められます。
    「術前にわかっていて適切な対処ができていれば・・・」
    とならないよう当院では術前検査項目に血液凝固を入れています。
    また病気でなくても、そういったことが起きないとは限りません。
    避妊去勢手術を行う前にも、ご希望によりますが、検査を行っています。
    血液凝固検査機器
    血球検査機器 血球検査機器
    歯科用治療機器
    高齢動物で多い歯周炎の予防はホームケアーが一番ですが、沈着してしまった歯石は削りとらないと除去できません。
    超音波を用いて歯石を破砕除去し、歯周ポケットもきれいにした後、歯の研磨を行っています。
    また、歯髄治療も行っています。
    歯科用治療機器
    電気メス
    手術時、電流により血液を凝固させながら切開することで、大幅に出血量を減らすことができます。
    また、アルゴンガス を用いた凝固により広範囲からの微小出血を止めることが可能です。
    バイクランプ という凝固装置を用い、糸による結紮を用いない手術も実施しています。
    それによりミニチュアダックスフンドに多い、結紮した糸に対するアレルギー反応の予防が可能です。
    電気メス 電気メス
    ↑結紮糸を用いないバイクランプによる手術

     ◆処方食



    当院では、愛犬、愛猫のフード(さまざまな症状にあわせた処方食、成長過程に対応した維持食)を各種取り揃えてあります。
    毎日の食生活は、人同様、ペットでも非常に重要です。
    食べているものによっては、病気の発症を助長させている可能性があります。
    病気が発症してからの治療ではなく、毎日のフードで事前に病気の予防をすることができれば、こんなすばらしいことはないはずです。
    そういった意味で、各成長ステージ、加齢に伴う過程に合わせてフードを選んでいくことは重要です。
    また、そのペットがどういった病気の素因があるかを考えながら(避妊去勢手術歴、犬種等)飼い主様がよりよいフード選びをするサポートを行っております。

    アレルギー性皮膚病
    イメージ写真
    アレルギーは様々な年齢で発症し、年を重ねるごとに症状が進行します。
    アレルギーに関与している原因は複数であることが多いですが、その一つが食物であるならば、それを除いた食事に変えてあげることで症状の緩和が期待されます。
    皮膚に関しては、アレルギー反応を起こしにくくする以外にも皮膚の健康をサポートする栄養素を補給すろことが重要です。
    健康な皮膚には、外からの細菌等から体を守るバリアー機能が存在します。
    しかし、皮膚に炎症を起こすことによりバリアー機能が低下し、さらなる二次的な感染をおこす悪循環をうみます。
    そこで、抗炎症をサポートするオメガ3脂肪酸、スキンバリア効果をサポートするビタミン、アミノ酸、抗活性酸素などを多く配合されたフードも皮膚炎のコントロールの強いサポートとなります。
    イメージ写真

    尿結石症
    尿路結石は尿中のミネラル量が多くなったり、尿量が少なくなったり、尿のpHが変化して起こります。
    日常適切な食事を摂り、結石ができないよう予防することが重要です。
    ネコで結石(結晶)溶解用フードを使う場合、問題は食べてくれるかです。
    何種類か用意する、少しずつ増量するなどそのネコに合わせた方法を考えていきましょう。
    肥満
    2回目のワクチンが終了した頃からその後もしばらくパピー用フードを与えているとこのフードが高栄養に作られているためこの時期に脂肪細胞の数を増やしてしまい、太りやすい体を作ってしまいます。
    成長ステージにあわせたフードを選んであげることで、予防は可能です。
    肥満になってしまったらどうするか?
    使っていただくフードは、ただ量を減らすのでは摂取カロリーは確かに抑えられるかもしれませんが、体に必要な栄養素も抑えてしまい、筋肉が落ちるなどで美しくやせることができません。
    必要な栄養はしっかりと配合され、やせやすい体をつくるための成分が加わり、しかも空腹感をあまり感じなくていいようにつくられたフードでの減量がお勧めです。
    イメージ写真
    腎不全
    腎臓のろ過機能の3/4が壊れて初めてBUN,CRE値が上昇します。
    よって、BUN、CRE値の軽度の上昇は軽度ではなく、明らかな慢性腎不全です。
    この時期からリンを制限した食事を始めたイヌは、何もしなかったイヌの 2倍以上生存期間が伸びています。


    Copyright(C)2014 shineidou all rights reserved.